OLGU 220105Kalça Ağrısı, Trokanterik Bursit, Trokanter Majör
Yaş-Cinsiyet: 27 yaşında kadın hasta.
Şikayet: Sol kalça yan tarafta (trokanter majore uyan bölge) lokalize ağrı.
Hikaye: Yaklaşık 3 yıldır ağrısı olan hastanın çok sayıda hekim başvurusu ve 4 defa trokanterik bursaya yönelik anatomik landmarklar eşliğinde enjeksiyon öyküsü mevcut.
Özgeçmiş: Bilinen bir kronik hastalık veya kırmızı bayrak semptomları yok.
Muayene: Hasta 165cm boy ve 51 kg ağırlığa sahip. Lokal ağrı dışında muayene bulgusu yok. Nörolojik muayene normal.
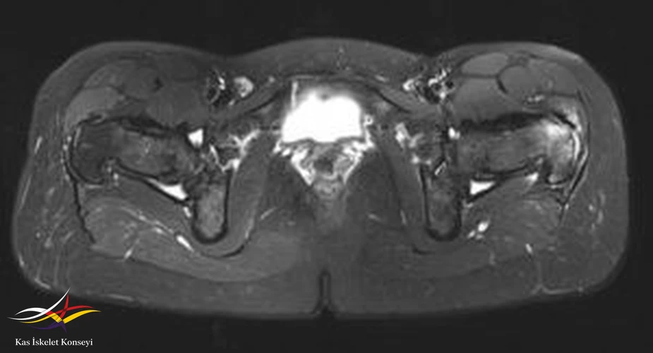
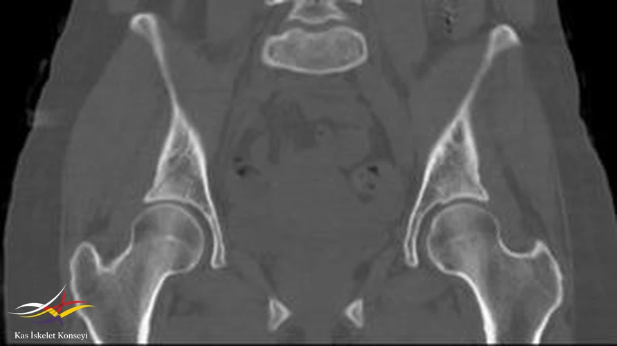
İncelemeler: Kalça MRG ve BT incelemelerinde sol femur trokanter major bölgesinde kemik iliği ödemi, bilateral şüpheli trokanterik bölge fraktür hattı, trokanterik bursit ile uyumlu görünüm saptandı.

Resim 1. Koronal T1 ağırlıklı MRG incelemesi.

Resim 2. Koronal T1 ağırlıklı MRG incelemesi.

Resim 3. Aksiyal T2 ağırlıklı MRG incelemesi.

Resim 4. BT incelemesinde sol tokanter majörde şüpheli fraktür hattı izlenmekte.
SONUÇ VE YORUM
Klinik tablo ve görüntülemeler konseyde değerlendirildi. Tedavi için ultrason altında bursa aspirasyonu ve steroid enjeksiyonu, iğne ile trokanter major bölgesine mini-drill planlandı. Başarısızlık halinde cerrahi drilleme öngörüldü.
Olguyu gönderen: Dr. Murat Birtane
Kategori: