OLGU 251008Diz Ağrısı - High Tibial Osteotomi
Yaş-Cinsiyet: 44 yaşında kadın hasta.
Şikayet: Sol dizde ağrı.
Hikaye: 2009 yılında diz ağrısı nedeniyle ACL + MCL onarımı yapılmış. Uzun süre ağrısız ve EHA tam bir şekilde hayatını devam ettirmiş. 2018 yılında tekrar ağrıları başlayınca başka bir merkeze başvuran hastanın önceki ameliyattaki ortopedik implantların enfekte olduğu belirtilmiş. Buna istinaden implantlar çıkarılmış. Hastanın o günden beri ağrıları devam etmekte. Her sene fizyoterapi ve NSAİİ ile ağrılarını hafifletmeye çalışmış. Aynı dizde ağrı şikayeti başvurdu. Şişlik hissetmiyor. Desteksiz yürüyor ancak uzun yürüyüşler artık yapamıyor. Günlük aktivitelerinde diz ağrılı.
Özgeçmiş: Özellik yok.
Muayene: İnspeksiyon : şişlik , kızarıklık yok
Eklemde ısı artışı yok
EHA : ağrılı aktif tam .
Patellar şok-
Krep +
Mcmurray +
Çekmece testleri –
Varus/valgu stress testleri +
Kas gücü tam
Eklemde ısı artışı yok
EHA : ağrılı aktif tam .
Patellar şok-
Krep +
Mcmurray +
Çekmece testleri –
Varus/valgu stress testleri +
Kas gücü tam
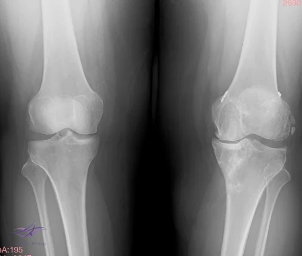
İncelemeler: USG'de minimal suprapatellar efüzyon. MCL heterojen görününde fibrillar yapı bozulmuş. Direkt grafi ve MRG'leri ektedir.

Resim 1. Resim 1. Direkt grafi.

Resim 2. Resim 2. Koronal MRG.

Resim 3. Resim 3. Sagittal MRG.

Resim 4. Resim 4. Aksiyal MRG.
SONUÇ VE YORUM
Konsey Kararı :
Mevcut ağrıyı kesecek enjeksiyon ve bloklar yapılsa dahi medial kompartmanın dejenerasyonun durdurulması gereklidir. Yapılmaması durumunda hızlı bir şekilde lateral kompartman kaybı da yaşanabilir. Bu durum hastanın erken bir dönemde total diz protezi kullanmasına sebep olabilir. Dolayısıyla bunu engellemek için high tibial osteotomi uygun bulundu.
High Tibial Osteotomi
-- Primer Endikasyonlar:
Medial kompartman osteoartriti (tek kompartman tutulumu)
Varus diz deformitesi (genu varum)
Eklem aralığının lateral kısmı korunmuş olmalı
Yaş genellikle 35)
Olguyu gönderen: Dr. Ali Uygur
Kategori: