OLGU 251105Kasık Ağrısı, Böbrek Taşı, Yansıyan Ağrı
Yaş-Cinsiyet: 59 yaşında erkek hasta.
Şikayet: Sağ kasıkta, yürümeyi etkileyen ağrı.
Hikaye: Ağrı yaklaşık 3,5 yıl önce, 2022 şubatta başlamış. USG çekilmiş. Küçük kasık fıtığı var denmiş (5 mm büyüklükte). Zamanla ağrıları artmış. Ağrı istirahat sırasında olmuyor ayağa kalkıp yürüyünce ortaya çıkıyormuş. Çok yavaş yürümek zorunda kalıyormuş. Bursa’da kasık fıtığında opere edilmiş. Post op ağrıları daha da şiddetlenmiş. Öne eğilerek yürümeye başlamış. Kasıktan lokal anestezik ile kortizon beraber blokaj yapılmış (detay bilinmiyor). 3-4 ay sonra algolog tarafından USG kullanılarak o bölgeye müdahale edilmiş. Ağrı biraz azalır gibi olmuş ama sonra devam etmiş.
Başka bir genel cerrah konan yamanın buruştuğunu söylemiş. Tekrar opere edilmiş eski yama çıkarılıp yeni yama koyulmuş. Ağrıları biraz azalmış. Ama sonra yine artmış. Ağrı testislere vurmaya başlamış. Bir çok doktora daha gitmişler. EMG çekilmiş normal çıkmış. Başka bir cerrah 3. kez opere etmiş. Genitofemoral sinirin genital dalını kesmişler (hasta ifadesi) ağrılar birkaç hafta rahatlamış ama sonra yine şiddetlenmiş. Yürümeye başlayınca kasık ağrısı çok şiddetlenmeye başlamış. Bir algolojik girişim daha yapılmış. Yine etkisiz olmuş.
Başka bir genel cerrah konan yamanın buruştuğunu söylemiş. Tekrar opere edilmiş eski yama çıkarılıp yeni yama koyulmuş. Ağrıları biraz azalmış. Ama sonra yine artmış. Ağrı testislere vurmaya başlamış. Bir çok doktora daha gitmişler. EMG çekilmiş normal çıkmış. Başka bir cerrah 3. kez opere etmiş. Genitofemoral sinirin genital dalını kesmişler (hasta ifadesi) ağrılar birkaç hafta rahatlamış ama sonra yine şiddetlenmiş. Yürümeye başlayınca kasık ağrısı çok şiddetlenmeye başlamış. Bir algolojik girişim daha yapılmış. Yine etkisiz olmuş.
Muayene: Hasta ağrısını sağ pubis kolu bölgesine lokalize ediyordu. Nörolojik muayenesi ve bel muayenesi normaldi. Kalça hareketleri de büyük oranda açıktı. Fleksiyon sonunda hafif bir ağrıdan yakınıyordu.
Klinik Seyir: Ağrılı bölgeye USG kontrolü ile yaptığımız test lokal anestezik ağrısını geçirmedi. Psoas kasına yapılan ozon enjeksiyonu etkili olmadı. HILT terapi etkisizdi. Konseyde tartışılarak olasılıklar değerlendirildi ve lomber MRG istendi.

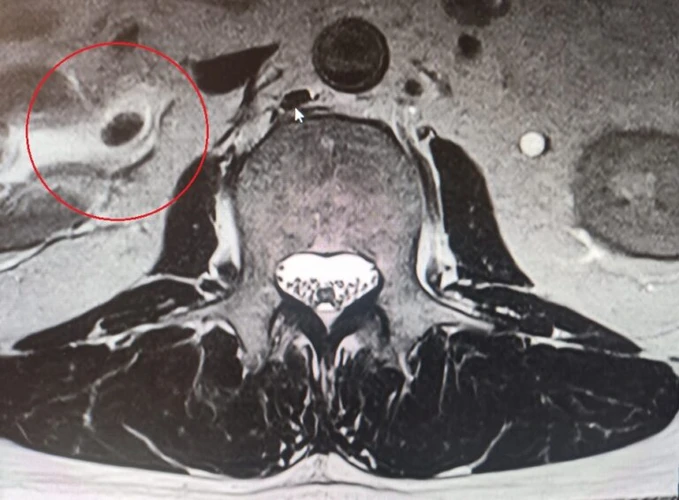
Resim 1. Loner MRG'de aksiyal kesitte sağ börekte hipointens lezyon görülmekte.

Resim 2. Koronal kesitli BT'de sağ börekteki taş görülmekte.
SONUÇ VE YORUM
Çekilen bel MR’ında sağ böbrek pelvisinde üreter girişinde 1.5 cm çapında böbrek taşı tespit edildi.
Taş kırma operasyonuna alınan hastanın ağrıları işlem sonrası dramatik bir biçimde azaldı.
İnatçı kasık ağrısında saptanan bu böbrek taşı olgusu, viseral organlardan yansıyan ağrıya güzel bir örnek oluşturmaktadır.
Olguyu gönderen: Dr. Cengiz Bahadır
Kategori: