TR | EN

OLGU 260114L5-S1 Düzeyinde Şüpheli Görünüm ve Ayırıcı Tanısı

Onay Pulu
Yaş-Cinsiyet:
Şikayet: Sol kalçaya yayılan bel ağrısı.
Hikaye: Yaklaşık 2–3 aydır devam eden ağrı mevcut. Uyuşma ve karıncalanma yok. Sabah tutukluğu yok. Ağrıyı artıran veya azaltan bir etmen fark etmemiş. Travma ve ateş yok.
Özgeçmiş: Bilinen epilepsi mevcut. Levetirasetam dışında ilaç kullanımı yok. Başka hastalık yok.
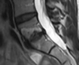
İncelemeler: Laboratuvar: AFR normal. Rutin biyokimya normal. Brucella negatif. HLA-B27 negatif. Görüntüleme: Sakroiliyak MR olağan. Mevcut lomber MR’da L5–S1 düzeyinde spondilodiskit açısından şüpheli görünüm izlenmesi üzerine kontrastlı lomber MR istendi.

SONUÇ VE YORUM

Kemik sintigrafisi görüldükten sonra spondilodiskit olasılığı elendi. L5-S1'deki disk lezyonu geçirilmiş bir travma ya da Schmorl nodülüne sekonder olarak artmış yoğun dejeneratif değişiklikler olarak değerlendirildi. 1600 mg/gün NSAİİ tedavisi ile kısmi fayda görüldü. Ağrı sadece sol değil sağ kasık bölgesine de ara ara yayılım gösteriyor artık ancak şiddet daha azdı. Hastaya fizyoterapi, günlük yaşam aktivitelerinde dikkat etmesi gerekenler ve kısıtlamalar önerildi ve takip planlandı.

Olguyu gönderen: Dr. Ali Uygur