TR | EN

OLGU 260128Omuz Eklem Kısıtlılığı, Romatoid Artrit

Onay Pulu
Yaş-Cinsiyet: 68 yaşında kadın hasta.
Şikayet: Sol omuzda hareket kısıtlılığı.
Hikaye: Bilinen travma öyküsü olmayan hastanın 2020’den beri progresif artan sol omuzda hareket kısıtlılığı mevcut. Dış merkezde ortopediye başvuran hasta artroplasti önerilmiş fakat başta materyal olmaması sebebiyle uzun süre opere edilmemiş ve sonrasında operasyona çağırıldığında ağrı azalmış, diş tedavisi görmekteymiş ve aktif enfeksiyon mevcut olduğu için opere edilememiş.
Özgeçmiş: 10 yıl önce yaygın eklem ağrıları olan hasta RA tanısı almış KS ve MTX kullanım öyküsü mevcut hasta kortikosteroid ile takipli.
Muayene: Sol omuz: Flex: 0-70°, Abd: 0-70°, İstirahatte VAS: 0, Hareket ile VAS:1-2, GYA’de bağımsız. Sistemik tutulum ve organ tutulumu yok. Diğer fizik muayene doğal ellerde deformite yok.
İncelemeler: Hemogram ve rutin biyokimya normal, CRP 2.5, ESR 7, RF 4.6, Anti-CCP <0.4, ANA negatif bulundu.

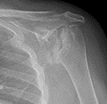
Sol Omuz MRG: Glenoidde kortikal düzensizlikler, lokalize defektif alanlar ve bu düzeyde subkondral milimetrik kistlerin eşlik ettiği medüller hafif hiperintens ödem izlenmektedir. Humerus baş kesiminde medialde de geniş bir alanda defektif görünüm mevcuttur. Buna komşu humerus başında milimetrik kistler ve medüller ödem izlenmektedir.

Humerus başında ve glenoid de osteofitik dejeneratif değişiklikler mevcuttur. Gleno-humeral eklem aralığı anterior inferiorda daralmıştır.Eklem aralığında sıvı miktarında belirgin artış izlenmedi.

Humerusta tüberkülüm majusta milimetrik kist - medüller ödem benzeri sinyal değişikliği dikkati çekmektedir.

Akromioklaviküler eklemde minimal dejeneratif hipertrofi izlenmekte olup eklem aralığı yaklaşık 5 mm ölçülmüştür ve normal sınırlar içerisindedir. Subakromial yağ mesafesi basılıdır. Akromion Tip 2 konfigürasyondadır. Glenoid labrumlar değerlendirilemedi. Biceps uzun başı tendonu normaldir. Supraspinatus tendonunda tendinozis izlenmektedir.

Rotator kafı oluşturan diğer tendonlar normal anatomik yapıda olup, patolojik sinyal izlenmemiştir. İnceleme bölgesine giren yumuşak dokular normaldir.

SONUÇ VE YORUM

Ön tanıda romatoid artrite bağlı eklem tutulumu, avasküler nekroz, Charcot eklemi (periferik nöropati- servikal radikülopati?) olasılıkları tartışıldı.

Hastanın ileri derecedeki eklem kısıtlılığı ve buna bağlı gelişen omuz çevresi kaslarda atrofisi olması sebebi ile artroplastiden fayda görebileceği öngörüldü.

Olguyu gönderen: Dr. Hatice Bodur