TR | EN

OLGU 260211 Diz Ağrısı, Parameniskal Kist, Ganglion Kisti

Onay Pulu
Yaş-Cinsiyet: 31 yaşında kadın hasta.
Şikayet: Sağ dizde ağrı.
Hikaye: 3 aydır hafif hafif başlayan kısa süreli sağ diz dış yan ağrısı mevcut. Ağrısı özellikle diz fleksiyonu ile tetikleniyor ve kısa sürede kendiliğinden geçiyor. Son zamanlarda ağrısı daha sık tetiklenmeye başlamış. Yürüme sırasında ağrısı olmuyor. Uzun süredir düzenli spor salonunda spor yapıyor. Haftanın üç günü squat, yürüme ve koşu benzeri fiziksel aktivite öyküsü mevcut. Belirgin bir travma tariflemiyor.
Muayene: Sağ diz lateralinde fibula başı komşuluğunda 2x2 cm çapında şişlik mevcut. Isı artışı yok. Renk değişikliği yok. Palpasyonla hafif hassasiyeti oluyor. Diz eklem hareketleri açık ve ağrısız. Bazen zorlamakla diz fleksiyonu sonrası lateral diz ağrısı artıyor.
İncelemeler:
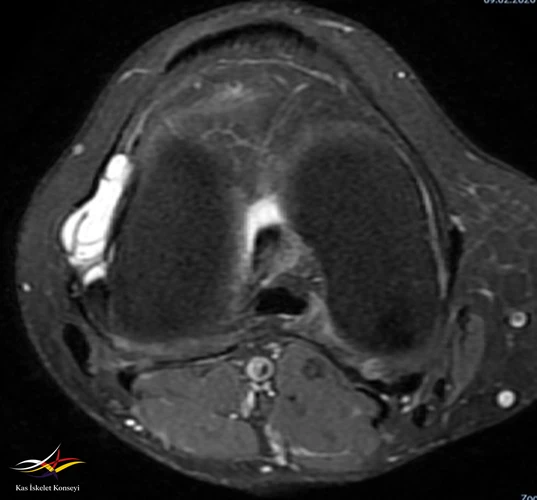
  • USG: Sağ dizde lateral kollateral ligaman altında tibiofemoral eklem aralığına komşu 2x3 cm çapında, septalı hiperekojen alan kistik lezyon ile uyumlu bulundu.
  • Sağ diz MRG: Sağ diz ekleminde tibiofemoral ve patellofemoral eklem mesafeleri doğal olup, eklem yüzeyinde kartilaj yapı kalınlık ve sinyal intensiteleri tabiidir. Lateral menisküste longitudinal seyirli ve periferik uzanımlı rüptür ile lateral komşuluğunda LCL'yi deplase eden 22x32 mm boyutlu lobüle konturlu septalı parameniskal kist izlenmiştir. Medial menisküsün morfoloji ve sinyal intensite dağılımı doğal izlenmiş olup, patolojik sinyal intensite değişikliği saptanmamıştır. ACL, PCL'de hafif sprain mevcut olup, MCL, LCL tabiidir. Patellar ve quadriceps tendonların bütünlük ve sinyal intensiteleri tabiidir.

SONUÇ VE YORUM

Olgu konsey tarafından parameniskal gangliyon kisti olarak değerlendirildi. Aktivite kısıtlaması, fiziksel aktivite modifikasyonu, USG eşliğinde kistin aspirasyonu ve glukokortikoid enjeksiyonu önerildi. Yakınmalarının devam etmesi halinde cerrahi girişim planlanabilir.

Olguyu gönderen: Dr. Coşkun Zateri