OLGU 260325-2Bel Ağrısı, Bacak Ağrısı, Perinöral Kist
Yaş-Cinsiyet: 35 yaşında kadın hasta.
Şikayet: Bel ve sol bacak ağrısı.
Hikaye: Uzun süredir olan bel ve sırt ağrıları son zamanlarda sol kalça ve diz altına vuran ağrı eşlik etmeye başlamış. Kırmızı bayrak yok. Masa başı çalışıyor. Sabah Tutukluğu yok. Nsaii olumlu cevap (kısa süreli).
Özgeçmiş: Bilinen ek hastalık yok.
Muayene: Lomber EHA ağrılı tam. Kas gücü tam. DTR normoaktif. SIKT -/-. DBKT +/+.
İncelemeler: Rutin biokimya normal. AFR -
Klinik Seyir: MRG: L3-4 sağ perinöral kist. L5-S1 disk dejenerasyonu. Hasta L3-4 deki lezyon açısından Konseye danışıldı.

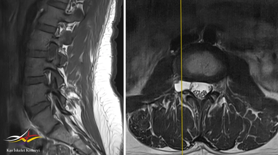
Resim 1. Lomber MRG. Solda T1 ağırlıklı sagittal, sağda T2 ağrılıklı aksiyal kesit: L3-4 sevitesinde sağda foramende kistik lezyon görülmekte (perinöral kist).

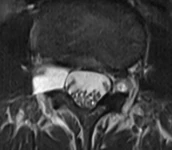
Resim 2. Sagittal ve aksiyal T2 ağırlıklı inceleme.
SONUÇ VE YORUM
L3-4 seviyesinde sağ nöral foramen yerleşimli lezyon, tüm sekanslarda BOS intansitesine eş dansitede olmasına binaen bir perinöral kist olarak değerlendirildi. Bu lezyonun komşu kökü basarak semptomatik olabileceği, ancak bu yerleşimdeki bir kistin hastadaki gibi bel ve sol bacak ağrısından çok, sağ bacak ağrısı ve sağ L3 kök bulguları yapmasının bekleneceği düşünüldü. Bel ve sol bacak ağrısının L5-S1 seviyesindeki ılımlı disk dejenerasyonuna bağlı olabileceği öngörüldü. Sağ bacakta radiküler bir ağrı olmadıkça perinöral kiste yönelik radyolojik takibe gerek görülmedi.
Olguyu gönderen: Dr. Ali Uygur